Complimentary Consultation ($300 value) & $100 treatment credit w/your New Patient Cleaning, Exam & Xray visit.
$100 credit not redeemable for cash.
Complimentary Consultation ($300 value) & $100 treatment credit w/your New Patient Cleaning, Exam & Xray visit.
$100 credit not redeemable for cash.
Complimentary Consultation & 3D X-Ray with your initial implant or orthodontic appointment. (A $540 value.) Restrictions may apply.
get offer

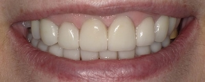
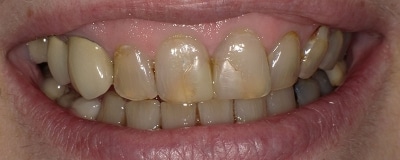
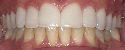
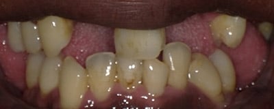
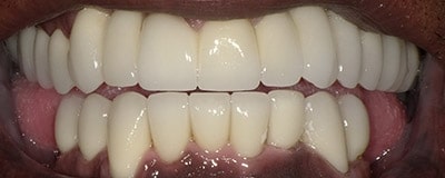
At Chester Dental Arts, we provide comprehensive, exceptional dental care for patients of all ages—all in one convenient location. Led by an exceptional team of dental professionals, we offer a full range of services,  including general, cosmetic, and restorative dentistry, to help you achieve a healthy, confident smile.
From the moment you walk through our doors, you’ll feel right at home. Our friendly and knowledgeable staff is dedicated to making your visit comfortable and stress-free, ensuring an outstanding experience from start to finish. Whether you’re here for a routine checkup or a complete smile makeover, our skilled dentists, hygienists, and assistants provide personalized, top-tier care tailored to your needs.
We are committed to staying at the forefront of dental technology, offering CEREC® same-day crowns, iTero intraoral scanning, digital x-rays, laser dentistry, and more. These advanced tools allow us to deliver precise, efficient, and comfortable treatments that fit seamlessly into your lifestyle.
✨ At Chester Dental Arts, we blend skill, compassion, and innovation to create truly stunning smiles. Contact us today to schedule your appointment!
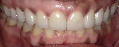
At Chester Dental Arts, we provide comprehensive, exceptional dental care for patients of all ages—all in one convenient location. Led by an exceptional team of dental professionals, we offer a full range of services,  including general, cosmetic, and restorative dentistry, to help you achieve a healthy, confident smile.
From the moment you walk through our doors, you’ll feel right at home. Our friendly and knowledgeable staff is dedicated to making your visit comfortable and stress-free, ensuring an outstanding experience from start to finish. Whether you’re here for a routine checkup or a complete smile makeover, our skilled dentists, hygienists, and assistants provide personalized, top-tier care tailored to your needs.
We are committed to staying at the forefront of dental technology, offering CEREC® same-day crowns, iTero intraoral scanning, digital x-rays, laser dentistry, and more. These advanced tools allow us to deliver precise, efficient, and comfortable treatments that fit seamlessly into your lifestyle.
✨ At Chester Dental Arts, we blend skill, compassion, and innovation to create truly stunning smiles. Contact us today to schedule your appointment!
Complimentary Consultation ($300 value) & $100 treatment credit w/your New Patient Cleaning, Exam & Xray visit.
$100 credit not redeemable for cash.

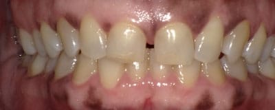
At Chester Dental Arts, we provide comprehensive, exceptional dental care for patients of all ages—all in one convenient location. Led by an exceptional team of dental professionals, we offer a full range of services,  including general, cosmetic, and restorative dentistry, to help you achieve a healthy, confident smile.
From the moment you walk through our doors, you’ll feel right at home. Our friendly and knowledgeable staff is dedicated to making your visit comfortable and stress-free, ensuring an outstanding experience from start to finish. Whether you’re here for a routine checkup or a complete smile makeover, our skilled dentists, hygienists, and assistants provide personalized, top-tier care tailored to your needs.
We are committed to staying at the forefront of dental technology, offering CEREC® same-day crowns, iTero intraoral scanning, digital x-rays, laser dentistry, and more. These advanced tools allow us to deliver precise, efficient, and comfortable treatments that fit seamlessly into your lifestyle.
✨ At Chester Dental Arts, we blend skill, compassion, and innovation to create truly stunning smiles. Contact us today to schedule your appointment!
Sorry, no records were found. Please adjust your search criteria and try again.
Sorry, unable to load the Maps API.
How likely are you to recommend Edward A. Romano, DDS?*